Early Interventions: A Comprehensive Guide to Interceptive Orthodontics

Explore how timely orthodontic care can guide dental development, prevent issues, and support long-term oral health in children and adolescents.

Jun 25, 2025
Read More
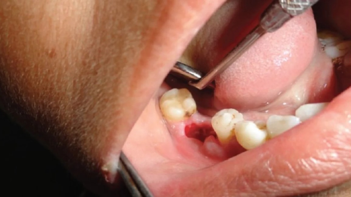
Dry Socket Demystified: What It Is, Why It Happens, and How to Prevent It

Learn what dry socket is, why it occurs after tooth extraction, and how to prevent it with simple, effective aftercare to ensure proper healing.

Jun 17, 2025
Read More
What to Do After a Tooth Extraction: Essential Healing Tips

Take care after a tooth extraction to heal faster and avoid issues like dry socket. Follow key tips for pain relief, hygiene, and what to eat or avoid.

Jun 11, 2025
Read More
Understanding Root Canal Treatment: What You Need to Know

Learn what a root canal is, why it's needed, and how it saves teeth by treating infection, relieving pain, and preserving your natural smile.

Jun 04, 2025
Read More